Unsere Leistungen

Veneers
Mit digitaler Planung und neusten Keramiken fertigen wir Frontzahnrestaurationen, die Licht, Farbe und Form perfekt nachahmen. Minimalinvasiv, langlebig, unsichtbar – Ästhetik, die man sieht, Natürlichkeit, die man fühlt.

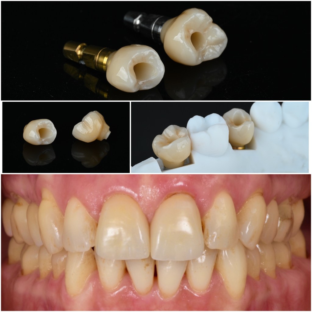
Kronen und Brücken
Mithilfe modernster CAD/CAM-Technologie fertigen wir einen stabilen, präzisen und hochwertigen Zahnersatz. Ob Implantat getragen, verschraubt oder zementiert, verblendet oder monolithisch – für jede Indikation bieten wir die passende Lösung.

Modellguss
Unsere Gerüste werden digital designed und durch das SLM-Verfahren angefertigt. Die Passgenauigkeit und die grazile Ausführung unserer Gerüste gewährleisten einen optimalen Sitz und eine ästhetisch ansprechende, funktionale Lösung für den Zahnersatz.

Prothetik
Totalprothesen werden nach System (A. Gerber/TiF) gefertigt. Darüber hinaus stellen wir Immediat- und Drahtklammerprothesen her.

Schienen
Zur Behandlung von Bruxismus, der Vorbeugung von Zahnschäden, und Verbesserung der Atmung im Schlaf bieten wir verschiedene Arten von Schienen an. Dazu gehören Michiganschienen, Sportzahnschutz und Schnarcherschienen.
Adresse
Haberweidstrasse 14
8610 Uster
Kontakt
+41 77 236 51 01
Zahnlux@gmail.com
